Teeth Whitening in Malaysia
(Bukit Jalil & Puchong)
Bring Back the Sparkle of Your Teeth
Let your teeth shine bright like a celebrity with our modern and effective teeth whitening solutions in Malaysia (Bukit Jalil & Puchong).

About
About Teeth Whitening
Teeth whitening is a safe and effective way to remove stains and discolouration from your teeth. We can transform your teeth into white, bright smiles based on your ideal shades, convenience, and preferences through in-office whitening solutions or take-home kits.
- DURATION:
10 – 30 Minutes
- PREPARATION:
Teeth Cleaning & Polishing
- Recovery:
Immediate/ 1 – 3 Days
- Types:
Express, In-Office, Home Kit

Types of Teeth Whitening Solutions We Offer
Our dentists will recommend the type of teeth whitening solutions best suited to your specific needs and preferences.



Express Teeth Whitening
Express teeth whitening typically takes 15 minutes to remove years of teeth stains, providing immediate results. In this procedure, we apply the whitening gel to your teeth and then utilise laser whitening equipment to activate the teeth whitening process.

In-Office Teeth Whitening
This procedure is performed by our professional dentists at the clinic, providing fast and visible results in just one visit. During the process, we apply bleaching gels to your teeth, activating the teeth whitening process with advanced LED technology.

Home Teeth Whitening Kits
For the at-home procedure, you just need to apply the provided bleaching gels into the custom-made trays and wear them daily for a specified period, following your dentist’s instructions. You will see a noticeably whiter smile in just one to two weeks.

Signs You Need A Teeth Whitening Treatment
When you start noticing any of these symptoms or conditions, teeth whitening treatment might be the perfect solution for addressing your dental concerns.

Discoloured teeth due to poor oral hygiene habits.

Stained teeth from coffee, tea, and tobacco.

Yellowing or darkening of teeth due to ageing.

Inconsistencies in tooth colour across the smile.

Feeling self-conscious about your discoloured teeth.
How We Can Help You With Our Teeth Whitening Treatment
Discover the benefits of our teeth whitening treatment to address your oral needs:
Enhance overall facial aesthetics with a brighter and whiter smile.
Boost self-esteem and confidence by addressing tooth discolouration.
Achieve fast, visible, and long-lasting results for a brighter, whiter smile.
Reinforce the health of your teeth by effectively removing stains.
Tailor the treatment to achieve your desired level of whiteness.

Book an appointment.
Undergo a thorough dental examination.
Clean and polish your teeth.
Whiten your teeth with our in-office solution or home kits.

4 Easy Steps to Achieve Whiter Smile with Our Teeth Whitening Treatment
Book an appointment.
Undergo a thorough dental examination.
Clean and polish your teeth.
Whiten your teeth with our in-office solution or home kits.

Post-Whitening Treatment Care Tips for Optimal Results
Do's
- Avoid or reduce intake of coloured beverages, such as coffee, tea, and red wine.
- Follow the dentist’s instructions provided with the take-home whitening kits.
- Maintain regular oral hygiene practices and attend follow-up visits.
Don'ts
- Consume acidic foods and drinks that can lead to teeth sensitivity after treatment.
- Consume excessively hot or cold foods and beverages.
- Smoke cigarettes to maintain the whitening results.

Meet Our Dedicated Dentists
No one goes to their dentist wanting painful treatment. Our dentists are trained to provide gentle and compassionate care, always prioritising the best outcome for every patient.
Dentists

Dr Tan Pui Seen
15 Years of Clinical Experience

Dr Tan Kah Look
6 Years of Clinical Experience

Dr Hew Hein Wang
6 Years of Clinical Experience

Dr Amber Chong Chun Ling
5 Years of Clinical Experience

Experience A Comfortable Procedure
with Our Advanced Equipment



BlancOne Chairside Light Whitening System
A whitening system designed to make the procedure safe and quick, providing immediate results after just one visit – all in just one hour!

Laser Machine
A high-end device can be used for gum recontouring, gum disease treatment, teeth whitening, tooth desensitisation, TMJ Laser Therapy, and more.

Experience A Comfortable Procedure
with Our Advanced Equipment

BlancOne Chairside Light Whitening System
A whitening system designed to make the procedure safe and quick, providing immediate results after just one visit – all in just one hour!

Laser Machine
A high-end device can be used for gum recontouring, gum disease treatment, teeth whitening, tooth desensitisation, TMJ Laser Therapy, and more.
Testimonial
Let Our Patients Speak For Themselves

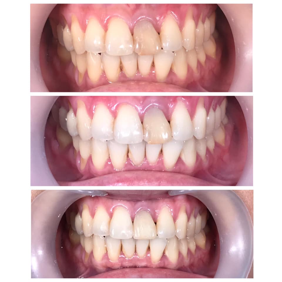
Did my tooth whitening at the clinic yesterday. Dr Tan is a friendly lady and has lots of patience. The price is reasonable. Highly recommended.
Marcus Lee Wai Chong

I recently underwent teeth whitening to address a persistent discolouration in my single front tooth. The outcome exceeded my expectations! Dr Tan took great care to ensure the colour matched perfectly with my surrounding teeth! Professional service!
Wong Yuet Meng

pending image
The whitening results were noticeable after just one session at the clinic, and I appreciate the care and expertise that went into achieving my brighter smile. Highly recommend PS Dental!
Serene Yap
Top Frequently Asked Questions
Explore answers to the most common queries regarding our teeth whitening treatment in Malaysia (Bukit Jalil & Puchong).
Our teeth whitening treatment, whether in-office or through take-home kits, is safe. This is ensured by our dental professionals who guide the treatment using certified whitening systems and materials while following recommended guidelines.
Teeth whitening is not permanent, and the results vary from person to person based on the condition of the teeth, the level of staining, and the type of bleaching system used. However, with proper maintenance and occasional touch-ups, the effects can last for an extended period.
Some individuals may experience temporary tooth sensitivity during or after teeth whitening, but it is usually mild and temporary.
Teeth whitening primarily affects natural teeth, and dental restorations do not respond to whitening agents. If you have restorations, discuss potential colour-matching options with your dentist.
Your Journey To A Dazzling Smile Begins Here!
Experience a radiant transformation by scheduling your teeth whitening treatment with us in Malaysia (Bukit Jalil & Puchong).


